Bệnh dương vật nổi chấm trắng là bệnh gì?
Dịch vụ y tế chất lượng cao, mô hình khám 1 bác sĩ – 1 bệnh nhân
26 Tháng 9, 2020Tư vấn y khoa: Bác sĩ chuyên khoa Nam Học - ĐKQT Hà Nội
Dương vật nổi chấm trắng là hiện tượng khá phổ biến của nam giới. Chính vì vậy, nhiều bạn nghĩ rằng bệnh này không nguy hiểm và có thể tự khỏi sau một thời gian. Thực tế cho thấy, đây là dấu hiệu của nhiều bệnh nam khoa nguy hiểm không thể tự khỏi nếu không có phương pháp điều trị đúng đắn. Bài viết sau đây sẽ giải thích bệnh dương vật chấm trắng là bệnh gì? Có nguy hiểm hay không? Điều trị bệnh dương vật chấm trắng ở đâu?
Dương vật chấm trắng là bệnh gì?
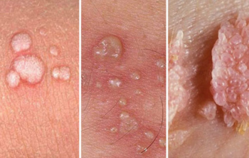
Khi nam giới thấy xuất hiện chấm trắng trên dương vật thì hiện tượng này cảnh báo các bệnh nam khoa như:
Viêm nhiễm bao quy đầu: Đây là bệnh lý nam giới thường gặp phải. Khi mắc bệnh bạn sẽ thấy xuất hiện những nốt mụn chấm trắng hoặc đỏ. Sau một thời gian, những chấm trắng hoặc đỏ này sẽ lan rộng ra xung quanh. Nếu có sự tác động, các nốt mụn sẽ bị vỡ, loét, tiết dịch gây nên cảm giác đau đớn, khó chịu cho người bệnh.
Chuỗi hạt ngọc dương vật: Chuỗi hạt ngọc dương vật là sự ứ đọng của các chất Smegma hoặc do vệ sinh không sạch khiến bựa sinh dục tích tụ. Lâu dần, sẽ xuất hiện những chấm trắng trên dương vật. Đặc điểm nhận biết của chuỗi hạt ngọc dương vật là đỉnh mụn nhọn, trơn láng, có màu trắng. Những nốt mụn trắng này không gây đau đớn hoặc ngứa ngáy cho người bệnh. Tuy nhiên, nếu không nhận biết và chữa trị sớm thì những nốt mụn trắng sẽ mọc ngày càng nhiều hơn gây mất thẩm mỹ. Đồng thời, tạo điều kiện cho các vi khuẩn có hại gây viêm nhiễm dương vật.

Bệnh sùi mào gà: Nổi chấm trắng hoặc hồng nhạt trên dương vật có thể là biểu hiện của bệnh sùi mào gà. Đây là bệnh xã hội nguy hiểm, gây nên nhiều biến chứng nguy hiểm đến sức khỏe của người bệnh. Sùi mào gà là bệnh xã hội do virus Human papilloma (HPV) gây ra. Đặc điểm của bệnh là nổi chấm trắng, mụn trắng trên dương vật. Khi nhiễm bệnh, dương vật sẽ xuất hiện các nốt mụn trắng có kích thước nhỏ, mềm, nhô cao lên trên bề mặt da. Theo thời gian, các nốt mụn sẽ phát triển lớn hơn, liên kết thành từng mảng như mào gà hoặc súp lơ.
Bệnh lậu: Lậu là một trong những bệnh xã hội nguy hiểm gây ra bởi virus Neisseria gonorrhoeae gây nên. Một trong những triệu chứng điển hình của bệnh lậu là có xuất hiện chấm trắng, đốm trắng trên dương vật. Bệnh lậu gây nên những hậu quả nguy hiểm cho nam giới như: viêm tuyến tiền liệt, vô sinh hiếm muộn, mù lòa, ung thư dương vật…
Bệnh mụn rộp sinh dục: Mụn rộp sinh dục là bệnh truyền nhiễm lây lan khi quan hệ tình dục không an toàn. Dấu hiệu đặc trưng của bệnh là dương vật xuất hiện chấm trắng, mụn trắng. Các nốt mụn sau một thời gian phát triển sẽ mọng nước và liên kết thành từng cụm. Khi bị vỡ, các đốm mụn sẽ chảy dịch gây viêm loét, đau rát cho người bệnh. Sau 5-12 ngày bị vỡ, mụn sẽ tự động đóng vảy. Tuy nhiên, bệnh sẽ tái phát nhiều lần và ngày càng nặng nề hơn.
Bệnh dương vật nổi chấm trắng có nguy hiểm hay không?
Theo lời khuyên của các bác sĩ chuyên khoa Nam học tại phòng khám Đa khoa Quốc tế Hà Nội thì bạn nên đến thăm khám tại các cơ sở y tế chất lượng và uy tín để chẩn đoán bệnh chính xác, hạn chế tối đa khả năng biến chứng của bệnh.
Bệnh dương vật nổi chấm trắng nếu có nguyên nhân xuất phát từ viêm nhiễm, bệnh xã hội thì sẽ rất nguy hiểm. Nếu không có biện pháp điều trị phù hợp, bệnh có thể gây ra viêm tiền liệt tuyến, viêm tinh hoàn, vô sinh – hiếm muộn, ung thư dương vật….
Phái mạnh tuyệt đối không tự ý điều trị tại nhà, không mua thuốc uống khi chưa có sự chỉ định của bác sĩ. Đồng thời trong quá trình điều trị nên tuân thủ theo phác đồ điều trị. Nên lưu ý một số vấn đề sau để bệnh nhanh chóng được cải thiện:
Không sử dụng các sản phẩm vệ sinh có chất tẩy rửa mạnh để vệ sinh “cậu nhỏ”. Chỉ nên dùng dung dịch muối loãng 2 đến 3 lần/ngày.
Trong quá trình điều trị bệnh nên kiêng quan hệ tình dục để tránh lây sang bạn tình
Lựa chọn quần áo rộng rãi, thoáng mát để mặc. Sau khi mặc nên giặt kĩ và phơi khô cho lần sử dụng tiếp theo. Tránh dùng chung đồ dùng với người khác.
Điều chỉnh chế độ ăn uống và sinh hoạt hợp lý và khoa học để cải thiện sức đề kháng bản thân.
Video tham khảo:
https://youtu.be/_MchAnxdJN4
Quy trình khám nam khoa tại phòng khám Đa khoa Quốc tế Hà Nội
Địa chỉ khám bệnh dương vật nổi chấm trắng uy tín tại Hà Nội
Hiện nay tại Hà Nội có rất nhiều phòng khám, bệnh viện khám chữa bệnh dương vật nổi chấm trắng. Tuy nhiên, để bạn tìm cho bản thân một địa chỉ phòng khám chất lượng, uy tín thì khó như “mò kim đáy bể”. Thấu hiểu điều đó của nam giới, chúng tôi xin giới thiệu cho bạn một địa chỉ phòng khám hội tụ đầy đủ tiêu chí, chất lượng quốc tế. Đó là phòng khám Đa khoa Quốc tế Hà Nội.

Tại phòng khám Đa Khoa Quốc tế Hà Nội đang áp dụng những phương pháp tiên tiến để điều trị các bệnh nam khoa và đặc biệt là bệnh dương vật nổi chấm trắng. Có thể kể tới các phương pháp tiên tiến, điều trị hiệu quả cao đang được áp dụng tại phòng khám Đa khoa Quốc tế Hà Nội như: chữa bệnh lậu bằng kỹ thuật phục hồi gene, máy sóng ngắn hỗ trợ điều trị viêm nhiễm bộ phận sinh dục….Những phương pháp này được đánh giá là hiệu quả vượt trội hơn các phương pháp truyền thống khác rất nhiều. Điều này giúp giảm thời gian cũng như chi phí điều trị cho người bệnh.
Ngoài ra, tại Phòng khám Đa khoa quốc tế Hà Nội, tùy vào tình trạng bệnh của mỗi người, bạn có thể được chỉ định sử dụng hỗ trợ bằng thuốc đông y, giúp cho cơ thể tăng sức để kháng và phòng nguy cơ bệnh tái phát.
Khi bạn đến với phòng khám Đa khoa Quốc tế Hà Nội, người bệnh được các y bác sĩ với hơn 30 năm kinh nghiệm trong chuyên ngành nam khoa, từng có thâm niên công tác tại các bệnh viện lớn sẽ trực tiếp thăm khám cho từng bệnh nhân. Những máy móc, thiết bị tiên tiến được phòng khám nhập khẩu từ nhiều nước có nền y học tiên tiến như Mỹ, Đức, Anh… sẽ hỗ trợ đắc lực trong việc khám chữa bệnh, đem lại trải nghiệm chữa bệnh tốt nhất.
Bên cạnh đó, thủ tục khám chữa bệnh tại Đa khoa Quốc tế Hà Nội nhanh gọn, hỗ trợ tối đa cho người bệnh, làm giảm bớt thời gian chờ đợi, xếp hàng, rút ngắn thời gian điều trị bệnh cho bệnh nhân.
Với những thông tin trên chúng tôi hy vọng đã phần nào giúp bạn giải đáp thắc mắc về bệnh dương vật nổi chấm trắng. Để giảm chi phí mà không phải điều trị lại nhiều lần, bạn nên đến những cơ sở uy tín ngay khi có những dấu hiệu đầu tiên của bệnh. Đây là thời điểm chữa bệnh tốt nhất và có khả năng chữa khỏi cao nhất. Nếu còn bất kỳ thắc mắc nào hãy liên hệ đến số hotline 0243.678.8888 hoặc [Tư Vấn Trực Tuyến] để được hỗ trợ giải đáp cụ thể.


