Dương vật nổi mụn thịt – Dấu hiệu của bệnh lý gì ở nam giới
Dịch vụ y tế chất lượng cao, mô hình khám 1 bác sĩ – 1 bệnh nhân
18 Tháng 9, 2020Tư vấn y khoa: Bác sĩ chuyên khoa Nam Học - ĐKQT Hà Nội
Mụn thịt có thể xuất hiện ở nhiều vị trí trên cơ thể của chúng ta với nhiều nguyên nhân khác nhau. Tuy nhiên nổi mụn thịt ở dương vật hoặc tại vùng kín lại là một dấu hiệu không bình thường cần phải xem xét. Đây có thể là biểu hiện bệnh lý bất thường khiến nam giới hoang mang và lo lắng.

Theo các chuyên gia y tế, tình trạng nổi mụn thịt ở dương vật nam giới có thể xuất phát từ nguyên nhân sinh lý hoặc bệnh lý. Nếu mụn thịt ở dương vật do nguyên nhân sinh lý thì không đáng lo ngại. Nhưng nếu xuất phát từ yếu tố bệnh lý thì có thể tiềm ẩn rất nhiều nguy hại đối với sức khỏe và cuộc sống của nam giới. Chính vì vậy các bác sĩ chuyên khoa khuyến cáo rằng khi bệnh nhân có dấu hiệu nổi mụn thịt trên dương vật thì nên đến thăm khám ngay để tránh mắc phải các tình trạng bệnh lý nguy hiểm.
Dương vật nổi mụn thịt là bệnh gì?
Như đã đề cập, nổi mụn thịt dương vật có thể đến từ yếu tố sinh lý hoặc bệnh lý. Nhưng nổi mụn thịt do yếu tố bệnh lý là nguy hiểm và cần được nam giới hiểu biết hơn cả. Những loại bệnh nam khoa có thể liên quan đến hiện tượng nổi mụn thịt dương vật:
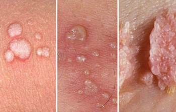
Sùi mào gà

Sùi mào gà là một trong những căn bệnh lây nhiễm thông qua con đường quan hệ tình dục không an toàn. Những dấu hiệu phân loại bệnh lý này là:
Mụn thịt mọc riêng lẻ hoặc liên kết giống như mào gà hoặc có hình giống hoa súp lơ
Mụn thịt có hình tròn và bầu dục màu hồng nhạt nhưng kích thước ngày càng lớn
Nếu có kích thích tác động lên vùng mụn, làm vỡ hoặc loét nên gây lan rộng ra các vùng khác trên dương vật gây nên tình trạng bội nhiễm.
Mụn rộp sinh dục
Mụn rộp sinh dục là căn bệnh do virut HSV1 và HSV2 gây nên. Bệnh lây lan chủ yếu do quan hệ tình dục không an toàn. Người bệnh sẽ thấy khó chịu vô cùng đồng thời gây đau, ngứa rát tại dương vật gây ảnh hưởng xấu đến chất lượng cuộc sống hằng ngày và công việc. Các dấu hiệu đặc trưng thường gặp của bệnh là:

Xuất hiện các nốt mụn như đốm trắng li ti gây cảm giác ngứa ngáy, khó chịu. Sau vài ngày sẽ phát triển thành mụn nước mọc thành từng chùm. Nếu không có những biện pháp ngăn chặn kịp thời, các mụn nước này sẽ vỡ ra, gây ra lở loét và khô lại, đóng vảy sau 7-10 ngày.
Ngoài ra, bệnh còn có những biểu hiện đặc trưng như : sưng hạch bạch huyết, đau nhức cơ thể, mệt mỏi, chán ăn và có thể sốt nhẹ.
Viêm bao quy đầu
Bao quy đầu là một lớp da mỏng bao bọc bên ngoài dương vật có chức năng bảo vệ và giữ ấm cho cậu nhỏ. Vì vậy, lớp da này thường xuyên phải tiếp xúc trực tiếp tới môi trường bên ngoài nên dễ dàng nhiễm khuẩn, nấm, hoặc ký sinh trùng. Những tác nhân này sẽ xâm nhập và phát triển ở bao quy đầu khiến bộ phận này bị ngứa, và nổi các lớp mụn đỏ li ti xung quanh bao quy đầu làm dương vật sưng tấy và đau ngứa. Bệnh lý này nếu để lâu sẽ ảnh hưởng xấu đến sức khỏe sinh sản và khả năng tình dục của nam giới.
Bạn có thể nhấp [CHAT TRỰC TUYẾN] để được tư vấn cụ thể hơn từng diện bệnh.
Lựa chọn địa chỉ khám chữa bệnh dương vật nổi mụn
Dương vật nổi mụn thịt là dấu hiệu cảnh báo về sức khỏe sinh lý cần được phát hiện và khám chữa kịp thời tránh những ảnh hưởng tới sức khỏe của nam giới. Tại Hà Nội các bạn có thể tới khám chữa bệnh tại Phòng khám đa khoa quốc tế Hà Nội.
Phòng khám Đa khoa Quốc Tế Hà Nội hội tụ đầy đủ tiêu chí của một cơ sở y tế có chất lượng cao, được người dân tin tưởng lựa chọn.

Đa khoa Quốc Tế Hà Nội đã được sở Y Tế cấp phép trước khi đi vào hoạt động chính thức do đó đảm bảo tính pháp lý cao. Phòng khám không chỉ chăm sóc sức khỏe sinh sản nói chung mà còn chú trọng điều trị các bệnh lý Nam khoa, bệnh lây truyền qua đường tình dục…Mọi danh mục và các hoạt động thăm khám, điều trị được tiến hành đều được cấp phép nên bệnh nhân có thể tin tưởng chọn lựa.
Phòng khám đa khoa Quốc Tế Hà Nội có cơ sở vật chất khang trang, phòng thăm khám cho bệnh nhân được chia thành nhiều phần riêng biệt như: Phòng thủ thuật, phòng siêu âm, phòng xét nghiệm, phòng truyền dịch, phòng hội chẩn …Hơn nữa những không gian này đều được vô trùng sạch sẽ theo tiêu chuẩn quốc tế.
Hệ thống trang thiết bị khang trang và phần lớn được nhập khẩu giúp ích đem lại hiệu quả cao cho bệnh nhân. Nhờ vật mà tỷ lệ chẩn đoán bệnh của bác sĩ có độ chính xác cao.
Đội ngũ chuyên gia, bác sĩ chuyên khoa của Đa khoa Quốc Tế Hà Nội đều là những người giàu kinh nghiệm, giỏi chuyên môn và tay nghề cao. Trước khi chuyển về công tác tại Đa khoa Quốc Tế Hà Nội thì các bác sĩ đã có thời gian dài công tác và giữ các chức vụ quan trọng tại nhiều bệnh viện lớn như Xanh-Pôn, Thanh Nhàn, Việt Đức…
Đặc biệt, chi phí khám chữa bệnh của bệnh nhân được công khai và hợp lý với khả năng chi trả của bệnh nhân. Rất nhiều người lo ngại về việc khám và điều trị bệnh tốn kém nên đã đến các cơ sở y tế kém chất lượng dẫn đến tiền mất, tật mang, Tại Đa khoa Quốc Tế Hà Nội, mọi thông tin về chi phí thăm khám đều được tuân theo quy định của Sở Y Tế Hà Nội vì vậy không bao giờ có tình trạng tự ý nâng giá vô lý như nhiều phòng khám khác.
Trên đây là một số thông tin liên quan đến dương vật nổi mụn thịt. Nếu còn băn khoăn gì chưa rõ về vấn đề này, các bạn có thể liên hệ đến đường dây nóng 024.3678.8888 – 082.999.20.20 hoặc nhấp [Tư vấn trực tuyến] để được các chuyên gia Phòng khám Đa khoa Quốc tế Hà Nội hỗ trợ tư vấn cụ thể 24/24h và đăng ký lịch thăm khám trước với bác sĩ vào tất cả các ngày trong tuần (kể cả chủ nhật và lễ tết)


